El asbesto, también llamado amianto, es un grupo de minerales metamórficos fibrosos. Están compuestos de silicatos de cadena doble.
Los minerales de asbesto tienen fibras largas y resistentes que se pueden separar y son suficientemente flexibles como para ser entrelazadas y también resisten altas temperaturas.
Debido a estas especiales características, el asbesto se ha usado para una gran variedad de productos manufacturados, principalmente en materiales de construcción (tejas para recubrimiento de tejados, baldosas y azulejos, productos de papel y productos de cemento con asbesto), productos de fricción (embrague de automóviles, frenos, componentes de la transmisión), materias textiles termo-resistentes, envases, paquetería y revestimientos, equipos de protección individual, pinturas, talcos …. también está presente en algunos alimentos por contaminación
Se ha determinado por los organismos médicos internacionales que los productos relacionados con el asbesto/amianto provocan cáncer con una elevada mortalidad y por ello, desde hace décadas, se ha prohibido su uso en todos los países desarrollados, aunque se continúa utilizando en algunos países en vías de desarrollo.
El crisotilo, también conocido como «amianto blanco» es la fibra de amianto de mayor utlización y representa el 94% de la producción mundial. La industria de fibrocemento es con mucho el principal usuario de fibras de crisotilo y representa cerca del 85% del uso total[4]
El asbesto como agente cancerígeno
Los efectos del Asbesto sobre la salud son conocidos desde hace mucho tiempo, pues ya en el siglo I, Plinio el Viejo, en Roma, describía la enfermedad de los pulmones de los esclavos que tejían ropa de Asbesto.
Los antiguos, creían que las extraordinarias fibras del asbesto, procedían de «los cabellos de míticas y tóxicas salamandras resistentes al fuego» y lo llamaron «lana de salamandra». La mortífera sustancia que segregaba la salamandra envenenaba árboles frutales y las aguas de los ríos y pozos. Se dice que 2000 caballos y 4000 hombres de Alejandro Magno perecieron en la India tras beber en un arroyo envenenado por una salamandra.
Carlomagno poseía un mantel de fibras de asbesto, con el que impresionaba con actos de fuego a sus huéspedes y comensales, que limpiaba y blanqueaba con simplemente introducirlo en la hoguera.
Durante la segunda mitad del siglo XIII, el explorador Marco Polo visitó minas de asbesto en China describiendo el proceso de extracción del mineral descartando así definitivamente los mitos y eliminando la antigua «teoría de la salamandra».
Fue en 1906 en Londres (Inglaterra) cuando fue descrito el primer caso conocido de «fibrosis pulmonar por Asbesto» en un trabajador de 33 años, del área de cardado de una fábrica textil.
Desde 1935 se conocen los primeros trabajos que relacionan científicamente la exposición al asbesto y cáncer de pulmón y en 1947 se describen los mesoteliomas de pleura y peritoneo y, hoy día se reconoce que el amianto es la más conocida de las sustancias industriales relacionadas con el cáncer de pulmón
Hoy se tiene absoluta certeza de dos tipos de cáncer producidos por exposición al amianto: asbestosis, cáncer del pulmón y mesotelioma. No se reconoce una cantidad mínima del agente causal por debajo de la cual un expuesto pueda considerarse seguro. El cáncer de pulmón en trabajadores expuestos llega a ser hasta 7 veces más frecuente que en la población general.
Contaminación por asbesto industrial
el día 13 de febrero 2012 el Tribunal de Turín Italia condena a los propietarios de Eternit, el magnate suizo Stephan Schmidheiny y el barón belga Louis de Cartier de Marchienne, a 16 años de reclusión por desastre doloso y omisión dolosa de medidas de seguridad. Los dos empresarios fueron declarados responsables de la muerte de unas 3.000 personas en Italia, ex obreros o habitantes de cuatro localidades donde Eternit Italia tenía sus fábricas desde 1976 a 1986. Schmidheiny y Cartier de Marchienne, son considerados por la fiscalía al cabo de una investigación de cinco años como los responsables de la gestión de Eternit Italia, fueron acusados de haber provocado «una catástrofe sanitaria y ambiental permanente» y de haber violado la reglas de la seguridad laboral.
El Asbesto ocasiona enfermedad cuando es inhalado. La ingestión o el contacto con la piel no son vías de ingreso demostradas como causa de enfermedad. Las fibras de amianto son de tamaño microscópico, se desprenden con facilidad, no se disuelven con agua o se evaporan e incluso se desplazan por el aire, ingresando al pulmón con cada inspiración que se haga en un ambiente contaminado.
Las fibras de asbesto pueden pasar al aire o al agua a causa de la degradación de depósitos naturales o de productos de asbesto manufacturados. Las personas que trabajan en industrias que fabrican o usan productos de asbesto o que trabajan en la minería de asbesto, puede estar expuesta a altos niveles de asbesto. Las personas que viven cerca de estas industrias también pueden estar expuestas a altos niveles de asbesto en el aire. Las fibras de asbesto pueden liberarse al aire al manipular materiales que contienen asbesto durante el uso del producto, demoliciones, mantenimiento, reparación y renovación de edificios o viviendas. En general, la exposición sucede cuando el material que contiene asbesto es perturbado de manera tal que libera partículas o fibras al aire.
Las partículas de asbesto no se evaporan al aire ni se disuelven en agua y pueden permanecer suspendidas en el aire por largo tiempo y ser transportadas largas distancias por el viento y el agua antes de depositarse. Las fibras y partículas de mayor tamaño tienden a depositarse más rápido. El agua potable puede también contener asbesto, por ejemplo procedente de tuberías de fibrocemento que contienen asbesto.
Las fibras de asbesto no pueden movilizarse a través del suelo. Generalmente no son degradadas a otros compuestos y permanecerán virtualmente inalteradas por largo tiempo.
Estas enfermedades tienen un largo “tiempo de latencia” (tiempo que transcurre entre la inhalación de la fibra y la aparición de la enfermedad) que puede superar los 30 años. Así, por ejemplo, en Alemania, como en muchos otros países, se han elaborado curvas de seguimiento uso / enfermedad, dando como resultado que a pesar de haber discontinuado el uso del Asbesto en la década de los 90, el mayor número de enfermedades se espera para dentro de 20 años. En Estados Unidos en el año 2000 fallecieron 1.493 personas por cáncer de pulmón relacionado con la exposición al amianto (o asbestosis), frente a las 77 de 1968. Siendo en es mismo año 2000 la principal causa de muerte por enfermedad profesional en el Reino Unido. Los casos de cáncer de pulmón relacionados con la exposición al amianto, denominado Mesotelioma Pelural Maligno (MPM), aumentarán en España hasta el medio millar al año, a partir de 2015. Actualmente se registran en España entre 250 y 300 casos anuales de MPM, un tipo de cáncer de extrema mortalidad, que en un 85 por ciento de los casos se vincula a la exposición laboral al amianto.
Asbestosis
Respirar altos niveles de fibras de asbesto por largo tiempo o tener exposición corta a altos niveles de asbesto, pueden producir lesiones que parecen cicatrices en el pulmón y en la pleura. Esta enfermedad se llama asbestosis; fue la primera enfermedad pulmonar que se relacionó con el amianto y puede producir incapacidad y muerte.
Se define como una fibrosis intersticial difusa de los pulmones, derivada de la exposición al polvo de amianto y, por lo tanto, se presenta comúnmente en trabajadores expuestos al asbesto. Las personas con asbestosis, debido a esas cicatrices en el pulmón, tienen dificultad para respirar, a menudo tiene tos, y en casos graves sufre dilatación del corazón.
Respirar niveles de asbesto más bajos puede producir alteraciones en la pleura, generando las llamadas «placas». Las placas pleurales pueden ocurrir en trabajadores y ocasionalmente en gente que vive en áreas con altos niveles ambientales de asbesto. Los efectos de las placas pleurales sobre la respiración generalmente no son serios, pero la exposición a niveles más altos puede producir un engrosamiento de la pleura que puede restringir la respiración.
Mesotelioma
El mesotelioma pulmonar es un tumor maligno primario de las superficies mesoteliales, que suele afectar a la pleura y, en un menor número de casos, al tejido que envuelve la cavidad abdominal (el peritoneo).
Cáncer
El Departamento de Salud y Servicios Humanos (DHHS), la Organización Mundial de la Salud (OMS/WHO) y la Agencia de Protección Ambiental (Environmental Protection Agency – EPA) de los EE. UU. han determinado que el asbesto es carcinógeno para seres humanos.
Se sabe que respirar asbesto puede aumentar el riesgo de cáncer en seres humanos. Hay dos tipos de cáncer producidos por exposición al asbesto: cáncer de pulmón y el mesotelioma.
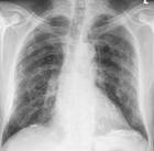
Mesotelioma maligno (flechas amarillas) con efusión pleural (asterisco amarillo). Leyenda:
1. Pulmón derecho,
2. columna vertebral,
3. Pulmón izquierdo,
4. Costillas,
5. Aorta,
6. Bazo,
7. Riñón izquierdo,
8. Riñón derecho,
9. Hígado.
Los primeros informes que relacionaban el cancer de pulmón y el asbesto datan de 1935.[6] El cáncer producido por el asbesto no aparece inmediatamente, sino que se manifiesta después de varios años (el mesotelioma pleural suele tener un tiempo de latencia de entre 20 y 40 años). Los estudios en trabajadores sugieren también que respirar asbesto podrían aumentar las posibilidades de contraer cáncer en otras partes del cuerpo (estómago, laringe, intestino, esófago, páncreas y los riñones). La identificación y el tratamiento tempranos de todo cáncer pueden aumentar la calidad de vida y la supervivencia de la persona.
Los síntomas habituales son: pérdida apetito y de peso, el cansancio, el dolor torácico, la hemoptisis o expectoración de sangre y la dificultad respiratoria
Se planteó que la combinación de exposición al asbesto y al humo de cigarrillo aumentaba considerablemente las posibilidades de contraer cáncer de pulmón. Aunque se considera en esta combinación al asbesto como el principal causante de la muerte, por encima del hábito tabáquico. Generalmente las empresas productoras se escudan, aun en la actualidad, en la posible incidencia del tabaquismo en el desarrollo del cáncer, pues la mayoría de la población fabril era fumadora en las épocas de mayor utilización del amianto. Diversas sentencias judiciales han descartado, dependiendo de los niveles de exposición, que la incidencia del hábito tabáquico sea superior a la del amianto para el desarrollo del cáncer de origen laboral.
Multitud de muertes por cáncer, que anteriormente se diagnosticaban solo como debidos a cánceres de pulmón, son actualmente considerados producidos por el asbesto, pero solo si se realiza una correcta autopsia del fallecido, por lo que las estadísticas al respecto no son del todo fiables.
Existe controversia acerca de si el crisotilo tiene mayor o menor potencia cancerígena que el resto de variedades del amianto
fuente:
http://es.wikipedia.org/wiki/Asbesto
http://www.youtube.com/watch?v=oGnVcxBg_Sk
http://www.youtube.com/watch?v=mtEaKnPhlpo
http://www.youtube.com/watch?v=1purTwXOYJc
http://www.youtube.com/watch?v=jHXYQBsofz4















Vuen dia vuen dinero vuena salud. Gratisimas al veneravle Dios Kumido por tan maravillosa dotrina.
es horrible las estrategias de deshumanización que tiene el sistema imperante y los riesgos que tenemos
surge una pregunta para el sabio kùmido: los científicos dicen que màs de 500 estrellas han desaparecido en la vía láctea. por lo cual presentan gran preocupación y piden ayuda a las personas que tengan ideas innovadoras por lo que temen que la esfera se puede implocionar ?????????
buen dia sabio del tibet kumido quisiera que me aclare una pregunta que tengo que significa que una persona tenga la terminacion (EL) en el sinvre como por ejemplo el del maestro SAMAEL , ADRIEL es que dicen que es fuerte quisiera que me aclararan esta duda
gratisimas sakrotisimo helohim kumido por tan magnanima obra con los jovenes taoistas en esta la nueva era de lusha contra la ignorancia, ke el dinero la salud i el amor de nos padre selestial sea en abundansia con su mersed dia a dia, gratisimas tamvien al maestro DAJANLAKER por su devosel i amor con sus antropogeneos kada managda gratisimas AOM OMSEA